抜歯即時埋入や、サイナスリフト、GBRなど高度な治療も行っています。
今や欠損補綴のオプションとしてインプラントは欠かせないものとなっています。
歯科医師ならできて当然、できるだけでなく高度な技術の取得が必要不可欠です。
ふじた歯科では、ICOI(国際インプラント学会)の指導医の資格を持つ院長のもと、基礎からインプラント治療について学ぶことができます。
年間100本以上埋入しているため、実際に治療するチャンスも多くあります。
インプラント1本埋入のケースでも事前にCTシミュレーションを行い、副鼻空との関係や、下顎臼歯部なら下顎管との距離や補綴する歯との位置関係を把握します。
シビアなケースでは1本でもサージガイドを作製するなど安心安全なインプラント治療を行っています。

インプラントオペは徹底した滅菌の環境下で行います。

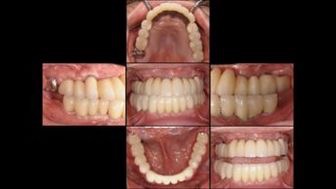
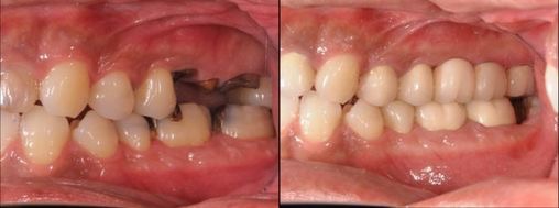
右下1本インプラント埋入した症例

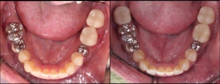
全顎的にインプラント治療を行った症例

ソケットリフトにより骨造成を行った症例

サイナスリフトにより上顎洞の横から
骨に穴を開け骨造成を行った症例
フラップオペやリグロス、GTR、エムドゲイン
歯周病の治療にも力を入れています。
口腔内の細菌を減らすためには、歯周治療は根本の治療と言えます。
ふじた歯科では歯周外科治療も積極的に行っているため、週に3回以上行うこともあります。
再生療法やGTRも必要に応じ行っているので、スケーリング・SRPといった基本的な処置から高度な治療まで学ぶことができます。
治療例

左上6番の近心に骨欠損があるため再生療法を行い、骨を回復した症例

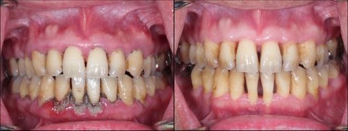
歯周病治療前と治療後の比較
根管内を実際に見て確認しながら行うマイクロエンド
最大20倍まで拡大できるマイクロスコープを設置しています。
通常確認できない根管内の汚染物資や破折したファイルなどの除去を可能にします。
歯根端切除・歯根嚢胞摘出時にも使用します。
形成面の確認や歯の表面の観察などしてみても面白いです。

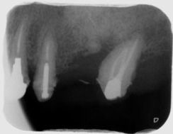
マイクロとCTを使用し根管治療行った症例
CTにてBM2根の存在を確認しマイクロで探索。
骨吸収の改善と根尖病巣からの上顎洞の炎症も改善している。
セレックをはじめとしたメタルフリー治療
最先端治療であるセレックを中心に、ダイレクトボンディング、ラミネートべニアなど審美修復の技術も磨くことができます。
セレックはCADCAMを使用した修復法で、形成した歯を撮影することでデータをスキャンしコンピューター上で 修復物を設計し削りだすというものです。
これからさらに進んでいく分野だと思います。
形成面もメタルの修復物とは抑えるべきポイントが違います。
セレック独自の形成法、接着技術も覚えることができます。

セレック治療では、1日で形成からセットまで終わらすことができます
治療例

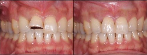
ダイレクトボンディングにより
右上1番を修復した症例

テトラサイクリンによる変色歯を
ラミネートべニアで審美回復した症例

右上2抜歯後オールセラミック、オベイドポンティックでBr作製した症例
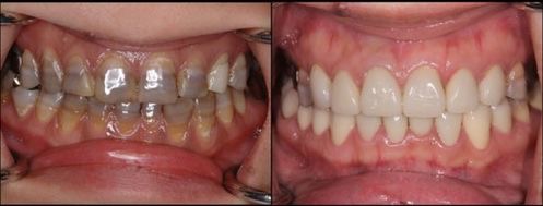
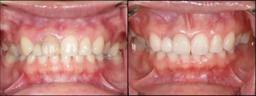
小児矯正からマウスピース矯正まで多岐にわたる矯正技術
全顎的な治療において矯正治療は重要です。
ふじた歯科では矯正の専門医である岡先生に詳しく指導してもらえます。
岡先生は長崎大学の矯正歯科に長年勤務していた経歴もあり、矯正の王道の治療を学ぶことができます。
また、床矯正という混合歯列期の矯正治療も積極的に行っています。
小児期からの矯正治療から、マルチブラケット、インビザラインを使用したマウスピース矯正まで、矯正の様々な技術も取得できます。
指導医の岡先生は質問したら何でも答えてくれる頼りになる方なので、どんどん聞いて知識と技術を吸収して下さい!

矯正医の岡先生はとても気さくな先生なので、
どんどん話かけて矯正の知識を吸収して下さい!


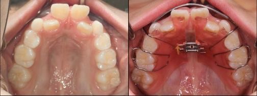
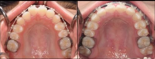
混合歯列から拡大装置を使用し、ワイヤーでの矯正に移行した症例。
天然歯を抜歯することなく、歯列不正を改善できた。
(左上は初診時、右上は拡大床セット時、左下は永久歯列に移行した時期、右下現在)
エステティックフェイスボーを用いた咬合診断
エステティックフェイスボーを使用した咬合診断を行っています。
無歯顎の症例から有歯顎でも咬合が崩壊してしまっている症例は多いです。
多くの歯科医師が治療計画を立てる上で一番悩む所は、どうすれば治療後長くもてるかということだと思います。
治療後にどういう補綴を行うのがベストか、咬合高径や咬合平面をその患者の顎の位置、顔や体の正中を基準に診断する方法こそエステティックフェイスボーによる咬合診断です。

エステティックフェイボーを用いて咬合診断し、理想的な歯をワックスアップによって再現した。


エステティックフェイスボーによる記録とゴシックアーチ


実際の症例、欠損部を放置していたことで
対合歯が挺出、理想的な形態に修正しセット。
| アクセス | JR 喜々津駅 徒歩10分 JR 市布駅 徒歩10分 |
|---|---|
| 駐車場 | 専用駐車場あり 30台 |
| 診療日・受付時間 | |||||||
|---|---|---|---|---|---|---|---|
| 曜日 | 月 | 火 | 水 | 木 | 金 | 土 | 日・祝 |
| 9:30-13:00 | ● | ● | ● | ▲ | ● | ▲ | 休 |
| 14:30-19:00 | ● | ● | ● | 休 | ● | 休 | 休 |
| 休診・・・日曜日・祝日、木・土曜日午後 ▲・・・木・土曜日の午前は9:00~13:00 |
|||||||